Monday - Saturday, 8:00 AM to 8:00 PM
Call us now 0884 2344255 / 2366255

Services

General Ophthalmology

General ophthalmologists provide a broad spectrum of eye care, from vision care (evaluating visual changes and prescribing glasses) to diagnosing and treating eye disease. A wide scope of patients with ocular problems and health concerns who range in age from teens through elderly adults are seen by our physicians.

General ophthalmologists at Anju Eyecare Hospital perform comprehensive eye examinations and surgical evaluations devoutly.

Vitreo – Retinal

Vitreo retinal diseases are conditions that affect structures in the eye called the retina and the vitreous. The retina is the light-sensitive layer in the back of the eye that focuses images and transmits that information to the brain via the optic nerve.

Anju Eyecare Hospital is one of the major tertiary care eye hospitals receiving referral cases from all over India. The clinic has state-of-the-art equipment for investigation and treatment of various Vitreo retinal diseases.

Cornea

The cornea is the transparent part of the eye that covers the front portion of the eye. It covers the pupil (the opening at the center of the eye), iris (the colored part of the eye), and anterior chamber (the fluid-filled inside of the eye). ... The cornea is responsible for focusing most of the light that enters the eye. Diseases affecting the cornea are a major cause of blindness all over the world, second only to cataract in overall importance.

Anju Eyecare Hospital includes management of corneal and external eye diseases, anterior segment trauma and ocular surface disorders including dry eye related eye problems and refractive surgery services.

Retinopathy of pre-maturity (ROP)

Retinopathy of prematurity (ROP) is an eye disorder caused by abnormal blood vessel growth in the light sensitive part of the eyes (retina) of premature infants. ROP generally affects infants born before week 31 of pregnancy and weighing about 1.25 kilograms or less at birth. ROP is asymptomatic. Blindness in the infant is often recognized by the parents only at the age of 6-8 months or sometimes even later. So screening is very important for premature babies. This disorder—which usually develops in both eyes—is one of the most common causes of visual loss in childhood and can lead to lifelong vision impairment and blindness. ROP was first diagnosed in 1942. Today, with advances in neonatal care, smaller and more premature infants are being saved. These infants are at a much higher risk for ROP. The disease improves and leaves no permanent damage in milder cases of ROP. About 90 percent of all infants with ROP are in the milder category and do not need treatment. However, infants with more severe disease can develop impaired vision or even blindness.

Anju Eyecare Hospital is one of the major tertiary care eye hospitals receiving referral cases from Kakinada and its surrounding regions. The clinic has state-of-the-art equipment for investigation and treatment of ROP.

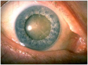
Cataract

A cataract is a change of the lens in the eye that affects vision. The lens is a clear part of the eye that helps to focus light, or an image, on the retina. The retina is the light-sensitive tissue at the back of the eye. It acts like the film in a camera.In a normal eye, light passes through the transparent lens to the retina. Once it reaches the retina, light is changed into nerve signals that are sent to the brain.The lens must be clear for the retina to receive a sharp image. If the lens is cloudy from a cataract, the image you see will be blurred.Most cataracts are related to aging. Cataracts are very common in older people. By age 80, more than half of our population either have a cataract or have had cataract surgery.A cataract can occur in either or both eyes. It cannot spread from one eye to the other.

The Cataract and IOL Department at Anju Eyecare Hospital is equipped to treat all kinds of cataracts. Expert doctors, well trained support staff and state-of-the-art diagnostics ensure the best possible care to patients.

Glaucoma

Glaucoma is a group of eye conditions that damage the optic nerve, the health of which is vital for good vision. This damage is often caused by an abnormally high pressure in your eye. Glaucoma is one of the leading causes of blindness for people over the age of 60.

Glaucoma Clinic at Anju Eye Care Hospital are well equipped with the latest diagnostic and therapeutic modalities to combat blindness due to the disease. The centre at Kakinada is recognised as a Centre of Excellence with a commitment to enhancing quality of patient care and education of ophthalmologists in early diagnosis and therapy.

Paediatric Ophthalmology

Pediatric ophthalmology is a sub-speciality of ophthalmology concerned with eye diseases, visual development, and vision care in children.

Pediatric ophthalmologists at Anju Eye care Hospital perform comprehensive eye examinations and surgical evaluations devoutly.

Tele – Ophthalmology

Teleophthalmology is a branch of telemedicine that delivers eye care through digital medical equipment and telecommunications technology. Today, applications of teleophthalmology encompass access to eye specialists for patients in remote areas, ophthalmic disease screening, diagnosis and monitoring; as well as distant learning.Teleophthalmology enables health professionals to take ocular images and attend to patients who have limited access to ocular health care. These images allow the ophthalmologist or optometrist, health care professionals and researchers to carry out the aforementioned applications. The required equipment includes a camera that can take ocular images and a computer terminal with network capabilities, which can transfer the images. There has been a significant increase in teleophthalmology research over the past decade. However, differences in health information exchange standards, data security, liability issues, and cost of equipment are other major challenges in teleophthalmology.

Healthy eye fundus viewed through a retinal camera

Retinal image with signs of macular degeneration